Cryoablation
Cryoablation is a process that uses extreme cold to destroy tissue. Cryoablation is performed using hollow needles (cryoprobes) through which cooled, thermally conductive, fluids are circulated. Cryoprobes are positioned adjacent to the target in such a way that the freezing process will destroy the diseased tissue. Once the probes are in place, the attached cryogenic freezing unit removes heat from ("cools") the tip of the probe and by extension from the surrounding tissues.
| Cryoablation | |
|---|---|
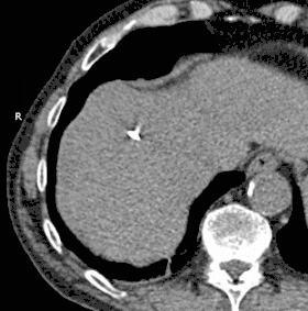
![]() Animated GIF showing cryoablation of mass in right liver lobe using two probes. Time elapsed is approximately 30 minutes. | |
| ICD-9-CM | 37.33, 37.34, 60.62 |
| MeSH | D003452 |
Ablation occurs in tissue that has been frozen by at least three mechanisms:
- formation of ice crystals within cells thereby disrupting membranes, and interrupting cellular metabolism among other processes;
- coagulation of blood thereby interrupting bloodflow to the tissue in turn causing ischemia and cell death; and
- induction of apoptosis, the so-called programmed cell death cascade.
The most common application of cryoablation is to ablate solid tumors found in the lung, liver, breast, kidney and prostate. The use in prostate and renal cryoablation are the most common. Although sometimes applied in cryosurgery through laparoscopic or open surgical approaches, most often cryoablation is performed percutaneously (through the skin and into the target tissue containing the tumor) by a medical specialist, such as an interventional radiologist. The term is from cryo- + ablation.
Prostate
Prostate cryoablation is moderately effective but, as with any prostate removal process, also can result in impotence. Prostate cryoablation is used in three patient categories:
- as primary therapy in patients for whom sexual function is less important or who are poor candidates for radical retropubic prostatectomy (RRP, surgical removal of the prostate);
- as salvage therapy in patients who have failed brachytherapy (the use of implanted radioactive "seeds" placed within the prostate) or external beam radiation therapy (EBRT); and
- focal therapy for smaller, discrete tumors in younger patients.
Bone cancer
Cryoablation has been explored as an alternative to radiofrequency ablation in the treatment of moderate to severe pain in people with metastatic bone disease. The area of tissue destruction created by this technique can be monitored more effectively by CT than RFA, a potential advantage when treating tumors adjacent to critical structures.[1]
Renal
Cryoablation has similar outcomes to radiofrequency ablation when treating renal cell carcinoma.[2]
Breast cancer
Cryoablation for breast cancer is typically only possible for small tumors.[3] Often surgery is used following cryoablation.[3] As of 2014 more research is required before it can replace lumpectomy.[3]
Cardiac
Another type of cryoablation is used to restore normal electrical conduction by freezing tissue or heart pathways that interfere with the normal distribution of the heart’s electrical impulses. Cryoablation is used in two types of intervention for the treatment of arrhythmias: (1) catheter-based procedures and (2) surgical operations.
A catheter is a very thin tube that is inserted into a vein in the patient’s leg and threaded to the heart where it delivers energy to treat the patient’s arrhythmia. In surgical procedures, a flexible probe is used directly on an exposed heart to apply the energy that interrupts the arrhythmia. By cooling the tip of a cryoablation catheter (cardiology) or probe (heart surgery) to sub-zero temperatures, the cells in the heart responsible for conducting the arrhythmia are altered so that they no longer conduct electrical impulses.
Fibroadenoma
Cryoablation is also currently being used to treat fibroadenomas of the breast. Fibroadenomas are benign breast tumors that are found in approximately 10% of women (primarily ages 15–30).[4]
In this procedure which has been approved by the U.S. Food and Drug Administration (FDA), an ultrasound-guided probe is inserted into the fibroadenoma and extremely cold temperatures are then used to destroy the abnormal cells.[5] Over time the cells are reabsorbed into the body. The procedure can be performed in a doctor's office setting with local anesthesia and leaves very little scarring compared to open surgical procedures.[5]
Catheter-based procedures
Different catheter-based ablation techniques may be used and they generally fall into two categories: (1) cold-based procedures where tissue cooling is used to treat the arrhythmia, and (2) heat-based procedures where high temperature is used to alter the abnormal conductive tissue in the heart.
Cryoablation
Cold temperatures are used in cryoablation to chill or freeze cells that conduct abnormal heart rhythms. The catheter removes heat from the tissue to cool it to temperatures as low as -75 °C. This causes localized scarring, which cuts undesired conduction paths.
This is a much newer treatment for supraventricular tachycardia (SVT) involving the atrioventicular (AV) node directly. SVT involving the AV node is often a contraindication for using radiofrequency ablation because of the risk of injuring the AV node, forcing patients to receive a permanent pacemaker. With cryoablation, areas of tissue can be mapped by limited, reversible, freezing (e.g., to -10 C). If the result is undesirable, the tissue can be rewarmed without permanent damage. Otherwise, the tissue can be permanently ablated by freezing it to a lower temperature (e.g., -73 C).
This therapy has revolutionized AV nodal reentrant tachycardia (AVNRT) and other AV nodal tachyarrhythmias. It has allowed people who were otherwise not a candidate for radiofrequency ablation to have a chance at having their problem cured. This technology was developed at The Montreal Heart Institute in the late 1990s. The therapy was successfully adopted in Europe in 2001, and in the US in 2004 following the "Frosty Trial".[6]
In 2004, the technology was pioneered in the midwest United States at Miami Valley Hospital in Dayton, Ohio by Mark Krebs, MD, FACC, Matthew Hoskins, RN, BSN and Ken Peterman, RN, BSN. These electrophysiology experts were successful in curing the first 12 candidates in their facility.
Cryoablation for AVNRT and other arrhythmias do have some drawbacks. A recent study[7] concluded that procedure times are slightly higher on average for cryoablation than for traditional radio-frequency (heat-based) ablations. Also, higher rate of equipment failures were recorded using this technique. Finally, even though short term success rate is equivalent to RF treatments, cryoablation appears to have a significantly higher long term recurrence rate.
Site testing
Cryotherapy is able to produce a temporary electrical block by cooling down the tissue believed to be conducting the arrhythmia. This allows the physician to make sure this is the right site before permanently disabling it. The ability to test a site in this way is referred to as site testing or cryomapping.
When ablating tissue near the AV node (a special conduction center that carries electrical impulses from the atria to the ventricles), there is a risk of producing heart block – that is, normal conduction from the atria cannot be transmitted to the ventricles. Freezing tissue near the AV node is less likely to provoke irreversible heart block than ablating it with heat.
Surgical procedures
As in catheter-based procedures, techniques using heating or cooling temperatures may be used to treat arrhythmias during heart surgery. Techniques also exist where incisions are used in the open heart to interrupt abnormal electrical conduction (Maze procedure). Cryosurgery involves the use of freezing techniques for the treatment of arrhythmias during surgery.
A physician may recommend cryosurgery being used during the course of heart surgery as a secondary procedure to treat any arrhythmia that was present or that may appear during the primary openchest procedure. The most common heart operations in which cryosurgery may be used in this way are mitral valve repairs and coronary artery bypass grafting. During the procedure, a flexible cryoprobe is placed on or around the heart and delivers cold energy that disables tissue responsible for conducting the arrhythmia.
Vascular Malformations
Cryoablation has recently been used to treat low-flow vascular malformations such as venous malformations (VM) and fibroadipose vascular anomalies (FAVA). Cryoablation has proved effective for treating these disorders both as primary treatment and after sclerotherapy.[8]
Cryoimmunotherapy
Cryoimmunotherapy is an oncological treatment for various cancers that combines cryoablation of tumor with immunotherapy treatment.[9] In-vivo cryoablation of a tumor, alone, can induce an immunostimulatory, systemic anti-tumor response, resulting in a cancer vaccine – the abscopal effect.[10] However, cryoablation alone may produce an insufficient immune response, depending on various factors, such as high freeze rate. Combining cryotherapy with immunotherapy enhances the immunostimulating response and has synergistic effects for cancer treatment.[11]
History
The use of cold for pain relief and as an anti-inflammatory has been known since the time of Hippocrates (460–377 BC).[12] Since then there have been numerous accounts of ice used for pain relief including from the Ancient Egyptians and Avicenna of Persia (AD 982–1070).[13] Since 1899, Dr. Campbell White used refrigerants for treating a variety of conditions, including: lupus erythematosus, herpes zoster, chancroid, naevi, warts, varicose leg ulcers, carbuncles, carcinomas and epitheliomas. De Quervain successfully used of carbonic snow to treat bladder papillomas and bladder cancers in 1917. Dr. Irving S. Cooper, in 1913, progressed the field of cryotherapy by designing a liquid nitrogen probe capable of achieving temperatures of -196 °C, and utilizing it to treat of Parkinson's disease and previously inoperable cancer. Cooper's cryoprobe advanced the practice of cryotherapy, which led to growing interest and practice of cryotherapy. In 1964, Dr. Cahan successfully used his liquid nitrogen probe invention to treat uterine fibroids and cervical cancer. Cryotherapy continued to advance with Dr. Amoils developing a liquid nitrogen probe capable of achieving cooling expansion, in 1967.[14][15][16]
With the technological cryoprobe advancements in the 1960s, came wider acceptance and practice of cryotherapy. Since the 1960s, liver, prostate, breast, bone, and other cancers were being treated with cryoablation in many parts of the world. Japanese physician Dr. Tanaka began treating metastatic breast cancer cryoablation in 1968.[17] For the next three decades, Dr. Tanaka successfully treated small and localized as well as advanced and unresectable breast cancer with minimally invasive cryoablation. All of Dr. Tanaka's breast cancer cases were considered incurable: advanced, unresectable, and resistant to radiotherapy, chemotherapy, and endocrine therapy.[17] At the same time, physicians, including Dr. Ablin and Dr. Gage, started utilizing cryoablation for the treatment of prostate and bone cancer.[18][19] Dr. Paul J. Wang MD and Dr. Peter L. Friedman MD, PhD invented cryoablation for the heart and cardiac arrhythmia in 1988. Their patents were for the cryoablation catheter and cryogenic mapping (US Patents 5147355A and 5423807A).
The 1980s and 1990s saw dramatic advancement in apparatus and imaging techniques, with the introduction of CMS Cryoprobe, and Accuprobe.[20] CT, MRI, ultrasound guided cryoprobes became available and improved the capabilities of cryoprobes in treatment. Excited by the latest advancements in cryotherapy, China embraced cryotherapy in the 1990s, to treat many oncological conditions.[21] With the benefits well-established, the FDA approved the treatment of prostate cancer with cryoablation in 1998.[22]
See also
References
- Callstrom, Matthew R.; Dupuy, Damian E.; Solomon, Stephen B.; Beres, Robert A.; Littrup, Peter J.; Davis, Kirkland W.; Paz-Fumagalli, Ricardo; Hoffman, Cheryl; Atwell, Thomas D. (2013-03-01). "Percutaneous image-guided cryoablation of painful metastases involving bone". Cancer. 119 (5): 1033–41. doi:10.1002/cncr.27793. ISSN 1097-0142. PMC 5757505. PMID 23065947.
- El Dib, R; Touma, NJ; Kapoor, A (August 2012). "Cryoablation vs radiofrequency ablation for the treatment of renal cell carcinoma: a meta-analysis of case series studies". BJU International. 110 (4): 510–16. doi:10.1111/j.1464-410x.2011.10885.x. PMID 22304329.
- Sabel, MS (July 2014). "Nonsurgical ablation of breast cancer: future options for small breast tumors". Surgical Oncology Clinics of North America. 23 (3): 593–608. doi:10.1016/j.soc.2014.03.009. PMID 24882353.
- Medical Dictionary
- WebMD – Cryotherapy Shrinks Benign Breast Lumps
- "Archived copy". Archived from the original on 2013-12-19. Retrieved 2013-12-18.CS1 maint: archived copy as title (link)
- Nov. 2010 German CYRANO study (Cryoablation Versus Radiofrequency Energy for the Ablation of Atrioventricular Nodal Reentrant Tachycardia)
- Guevara, Carlos J; Ramaswamy, Raja S; Tiwari, Tatulya; Darcy, Michael D; Kim, Seung K; Akinwande, Olaguoke; Dasgupta, Niloy (2019). "Cryoablation of low-flow vascular malformations". Diagnostic and Interventional Radiology. Aves Yayincilik Ltd. STI. 25 (3): 225. doi:10.5152/dir.2019.18278 – via ProQuest.
- Sidana Abhinav (2014). "Cancer immunotherapy using tumor cryoablation". Immunotherapy. 6 (1): 85–93. doi:10.2217/imt.13.151. PMID 24341887.
- With improvements in breast imaging and image-guided interventions, there is interest in ablative techniques for breast cancer. Cryosurgery initiates inflammation and leaves tumor-specific antigens intact, which may induce an anti-tumor immune response.Tarkowski R, Rzaca M (2005). "Immunologic response to cryoablation of breast cancer". Gland Surg. 3 (2): 88–93. doi:10.3978/j.issn.2227-684X.2014.03.04. PMC 4115762. PMID 25083502.
- Haen SP, Pereira PL, Salih HR, Rammensee HG, Gouttefangeas C (2011). "More Than Just Tumor Destruction: Immunomodulation by Thermal Ablation of Cancer". Clin Dev Immunol. 2011: 1–19. doi:10.1155/2011/160250. PMC 3254009. PMID 22242035.
- Cooper (2001). "The History of Cryosurgery". J R Soc Med. 94 (4): 196–201. doi:10.1177/014107680109400416. PMC 1281398. PMID 11317629.
- Trescott (2003). "Cryoanalgesia in Interventional Pain Management". Pain Physician. 6 (3): 345–60. PMID 16880882.
- Gage AA (1998). "History of cryosurgery". Semin Surg Oncol. 14 (2): 99–109. doi:10.1002/(sici)1098-2388(199803)14:2<99::aid-ssu2>3.0.co;2-1. PMID 9492880.
- Freiman, Anatoli; Bsc, Nathaniel Bouganim (2005). "History of cryotherapy". Dermatology Online Journal. 11 (2).
- Cooper SM, Dawber RP (2001). "The history of cryosurgery". J R Soc Med. 94 (4): 196–201. doi:10.1177/014107680109400416. PMC 1281398. PMID 11317629.
- Richard J. Ablin (1998). "The Use of Cryosurgery for Breast Cancer". Arch Surg. 133 (1): 106. doi:10.1001/archsurg.133.1.106. PMID 9438770.
- Marcove RC, Miller TR (1969). "The treatment of primary and metastatic localized bone tumors by cryosurgery". Surg Clin North Am. 49 (2): 421–30. doi:10.1016/s0039-6109(16)38799-0. PMID 5774987.
- R. J. Ablin; et al. (1971). "Prospects for Cryo-Immunotherapy in Cases of Metastasizing Carcinoma of the Prostate". Cryobiology. 8 (3): 271–79. doi:10.1016/0011-2240(71)90050-2. PMID 5570410.
- Geisler, Eliezer; Heller, Ori (2012). Management of Medical Technology: Theory, Practice and Cases. p. 281. ISBN 9781461555193.
- Tumor treatment through cryotherapy was first invented by Americans in the 1960s. Aimed at promoting the new technology, the ISC was founded in Austria in 1972. The technology matured with each passing day after over 30 years of development. In recent years, in particular, China, with its greater economic development and scientific and technological progress, has been playing a leading role in the world in terms of both theoretical research and clinical application of cryotherapy. As an efficient medical method for treating tumors, cryotherapy has been adopted by more and more medical institutions in China and has achieved remarkable cancer-treating effectiveness."China: New Chair of the International Society of Cryosurgery (ISC)". 2015. Archived from the original on 2016-10-20. Retrieved 2016-10-23.
- "Center for Devices and Radiological Health U.S. Food and Drug Administration".
