Pleomorphic fibroma
Pleomorphic fibromas of the skin usually present in adults, with a slight preponderance in women.[1]

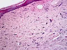
Micrograph of pleomorphic fibroma. Cell-depleted, fibrous connective tissue with atypical fibroblasts
See also
- Pleomorphic lipoma
- List of cutaneous conditions
References
- Rapini, Ronald P.; Bolognia, Jean L.; Jorizzo, Joseph L. (2007). Dermatology: 2-Volume Set. St. Louis: Mosby. ISBN 1-4160-2999-0.
This article is issued from Wikipedia. The text is licensed under Creative Commons - Attribution - Sharealike. Additional terms may apply for the media files.