Spondylitis
Spondylitis is an inflammation of the vertebrae. It is a form of spondylopathy. In many cases, spondylitis involves one or more vertebral joints, as well, which itself is called spondylarthritis.
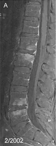
| Spondylitis | |
|---|---|
![]() | |
| Spondylitis due to Tropheryma whipplei: Contrast-enhanced, T1 weighted fat suppressed magnetic resonance imaging demonstrating contrast enhancing lesions of spondylitis in the first (L1) and second (L2), as well as fourth (L4) and fifth (L5) lumbar vertebra, sparing the intervertebral discs | |
| Specialty | Rheumatology |
Types
Pott disease is a tuberculous disease of the vertebrae marked by stiffness of the vertebral column, pain on motion, tenderness on pressure, prominence of certain vertebral spines, and occasionally abdominal pain, abscess formation, and paralysis.
Ankylosing spondylitis is an inflammatory disease involving the spine and sacroiliac joints, so is also a form of spondylarthritis.
A combination of spondylitis and inflammation of the intervertebral disc space is termed a spondylodiscitis.
Spondylitis is one of the most common causes of back and neck pain, and results from inflammation of the vertebral joints. The condition is often not detected until it has fully developed and is causing pain. The pain is usually concentrated around the cervical region of the neck, shoulder, and lower spine, with downward-moving, stinging pain. Types of spondylitis include cervical spondylitis, which affects the cervical spine, causing pain to spread to the back of the neck; lumbar spondylitis, which causes pain in the lumbar region; and ankylosing spondylitis, which is primarily a disease that affects the sacroiliac joints, causing stiffness in the neck, jaw, shoulders, hips and knees.
