Sex cord tumour with annular tubules
Sex cord tumour with annular tubules (SCTAT) is a rare ovarian tumour in the sex cord group of gonadal tumours.
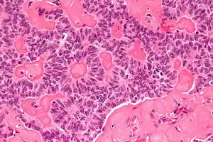
| Sex cord tumour with annular tubules | |
|---|---|
| Other names | Sex cord tumor with annular tubules |
![]() | |
| Micrograph of a sex cord tumour with annular tubules. H&E stain. | |
| Specialty | Gynecology |
Pathology
These tumours may be seen in the context of Peutz–Jeghers syndrome or be sporadic.[1] Large tumours are more likely to be sporadic. Small incidental tumours are more likely to be syndromic.
It has a distinctive appearance under the microscope, from which it derives its name.
Intermed. mag.
High mag.
Prognosis
Generally, they are considered to be benign; however, occasional malignant cases are reported.[2]
See also
References
- Purohit, RC.; Alam, SZ. (Mar 1980). "Sex cord tumour of the ovary with annular tubules (SCTAT)". Histopathology. 4 (2): 147–54. doi:10.1111/j.1365-2559.1980.tb02908.x. PMID 7358344.
- Lele, SM.; Sawh, RN.; Zaharopoulos, P.; Adesokan, A.; Smith, M.; Linhart, JM.; Arrastia, CD.; Krigman, HR. (Apr 2000). "Malignant ovarian sex cord tumor with annular tubules in a patient with Peutz-Jeghers syndrome: a case report". Mod Pathol. 13 (4): 466–70. doi:10.1038/modpathol.3880079. PMID 10786816.
External links
| Classification |
|---|
This article is issued from Wikipedia. The text is licensed under Creative Commons - Attribution - Sharealike. Additional terms may apply for the media files.
